처음 어금니를 잃었을 때, 저도 검색창에 같은 질문을 적었습니다. “임플란트가 나을까, 브릿지가 나을까?”
결론부터 요약하겠습니다. 뿌리 역할을 대체해 뼈 보존을 중시한다면 임플란트, 치아 삭제 범위를 최소화하고 단기간 저비용을 원한다면 브릿지가 맞더군요. 다만 구강 상태, 잇몸뼈 두께, 생활 습관에 따라 답이 갈립니다. 아래에 제가 실제로 두 치료를 모두 경험하며 얻은 기준을 정리했습니다. 고민하고 계신 분들에게 분 도움이 될 것입니다.
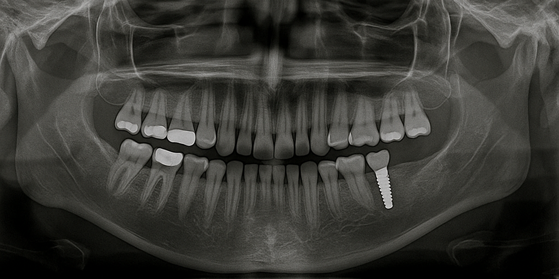
제가 겪은 실제 상황: 오른쪽은 임플란트, 왼쪽은 브릿지
몇 년 전 오른쪽 아래 어금니를 빼고 임플란트를 심었습니다. 수술 전 CT 촬영으로 뼈 높이를 확인했고, 식립 후 3개월 정도 기다린 뒤 크라운을 올렸죠. 반면 왼쪽은 오래전에 브릿지로 치료했습니다. 양쪽을 쓰면서 치아 삭제, 씹는 느낌, 관리 난이도가 어떻게 다른지 몸으로 배웠습니다. 글의 기준은 이 체험에서 나왔습니다.
작은 결론: 두 치료 모두 잘 쓰면 일상 식사는 충분하지만, 장기 유지 전략이 다릅니다.

치료 원리와 체감 차이
- 임플란트: 티타늄 픽스처가 잇몸뼈와 결합해 ‘인공 치근’이 생깁니다. 씹는 힘이 뼈로 전달되어 뼈가 유지되는 느낌이 있어요. 제 경우 오른쪽으로 고기 씹을 때 ‘쿡’ 하고 안정적으로 박히는 감각이 듭니다.
- 브릿지: 결손 부위를 사이에 두고 양 옆 치아를 깎아 연결 보철을 올립니다. 통증은 없었지만, 준비 단계에서 건강한 치아를 삭제한다는 점이 마음에 걸렸습니다. 다리 역할 치아가 피곤해지는 느낌을 관리로 상쇄해야 했습니다.
작은 결론: 임플란트는 뼈, 브릿지는 인접 치아가 핵심 변수입니다.
치아 삭제와 자연치 보존
왼쪽 브릿지를 할 때 가장 아쉬웠던 부분이 이겁니다. 양쪽 지대치를 균일하게 다듬어야 하니 삭제량이 적지 않았습니다. 반대로 임플란트는 빈자리에만 식립하니 옆 치아는 손대지 않았죠.
작은 결론: 자연치 보존을 우선하면 임플란트가 유리합니다.
수명과 재치료 가능성
제 브릿지는 7~8년 차에 접어들면서 가장자리 치은 부위 착색과 음식물 끼임이 늘었습니다. 접착제를 보강하고 스케일링 주기를 당겼더니 버티고 있습니다. 임플란트는 아직 초기 연한이지만, 정기 검진 때 동요도 없고 잇몸도 안정적이네요. 다만 임플란트도 영구 보장은 아닙니다. 주변 잇몸염과 나사 풀림, 크라운 마모 이슈가 생길 수 있어요.
작은 결론: 브릿지는 지대치 상태가, 임플란트는 잇몸 위생이 수명을 좌우합니다.
비용·치료 기간 체감
한국에서 느낀 체감상, 초기 비용은 임플란트가 높고 브릿지는 비교적 낮습니다. 기간은 임플란트가 뼈와 결합 시간을 포함해 길게 잡히고, 브릿지는 보철 제작 기간만 확보하면 비교적 빠릅니다.
저는 임플란트 쪽이 3~4개월, 브릿지는 2~3주 안에 마무리했습니다(개인 상태에 따라 달라집니다).
작은 결론: 빠른 복귀·초기 지출 최소화 → 브릿지, 장기 관점·재치료 리스크 분산 → 임플란트로 요약됩니다.
씹는 느낌과 발음
오른쪽 임플란트로 오징어나 견과류를 씹으면 단단하게 지지되는 힘이 느껴집니다. 반면 왼쪽 브릿지는 하중이 두 지대치로 분산되니 부드럽게 넘어가는 편이죠. 발음은 두 경우 모두 적응되면 문제 없었고, 뜨겁고 차가운 자극에선 브릿지 지대치가 가끔 민감했습니다.
작은 결론: 강한 교합감 → 임플란트, 부드러운 저작감 → 브릿지에 가깝습니다.
위생 관리 루틴: 제가 쓰는 실제 방법
- 임플란트 쪽: 초미세모 칫솔 + 치간칫솔(굵기 2단계) + 워터픽 순서로 밤에 집중 관리합니다. 워터픽을 임플란트 마진에 45도 각도로 대면 음식물이 시원하게 빠집니다.
- 브릿지 쪽: 슈퍼플로스(끝이 딱딱한 실)로 폰틱 아래를 통과시켜 훑습니다. 이걸 소홀히 하면 음식물 잔사가 쌓여 냄새가 나기 쉬웠습니다. 월 1회는 치과에서 폰틱 하방을 체크받았습니다.
작은 결론: 브릿지는 보조도구 사용이 필수, 임플란트는 잇몸염 예방이 핵심입니다.
잇몸뼈 상태와 흡연·질환 이력
CT에서 뼈 높이와 두께가 충분하면 임플란트 진행이 수월합니다. 흡연, 당뇨, 치주염 병력은 임플란트 성공률에 영향을 줄 수 있어요. 제 지인은 금연 후 임플란트 성공률이 확실히 올라갔습니다. 브릿지는 전신 상태의 영향이 상대적으로 적지만, 지대치가 충치나 신경치료 이력이 많다면 내구성이 떨어질 수 있습니다.
작은 결론: 전신 리스크↑ → 브릿지 고려, 뼈 여건 좋아요 → 임플란트 우선 검토가 합리적입니다.
심미성: 앞니 vs 어금니 기준
앞니 부위는 잇몸 라인과 투명도가 관건입니다. 잇몸이 살짝 후퇴하면 임플란트 금속 마진이 비칠 수 있어요. 브릿지는 연속 보철이라 라인을 맞추기 쉬운 경우가 있습니다. 어금니는 심미 부담이 낮아 임플란트 선호도가 높다는 걸 체감했습니다. 저도 어금니는 임플란트 만족도가 컸습니다.
작은 결론: 앞니는 심미 설계 경험 많은 병원에서 개별 상담 필수, 어금니는 임플란트 실용성이 빛납니다.
통증·불편감 관리 팁
- 임플란트 수술 당일: 냉찜질 48시간, 뜨거운 국물 금지, 빨대 사용 금지로 회복을 도왔습니다.
- 브릿지 준비 단계: 지대치 연마 후 민감해질 수 있어 일시적 보강 크라운을 끼고 적응했습니다.
- 공통: 소염진통제 복용 지침을 지키니 업무 복귀가 수월했습니다.
작은 결론: 초기 불편은 관리 습관으로 충분히 컨트롤됩니다.
어떤 사람이 임플란트형? 어떤 사람이 브릿지형?
임플란트형(제가 해당)
- 옆 치아 건드리기 싫다.
- 오래 씹는 음식 즐긴다.
- 정기 스케일링·관리 루틴 지킬 자신 있다.
- 뼈 상태가 양호하다.
브릿지형(아내가 해당)
- 단기간에 회복하고 싶다.
- 초기 비용 부담을 낮추고 싶다.
- 보조 위생도구 사용에 익숙하다.
- 지대치 컨디션이 좋다.
작은 결론: 생활 패턴과 성향이 최종 선택을 좌우합니다.
한국에서 병원 고르는 제 기준 5가지
- CT·사진 설명이 명확한가: 뼈 상태와 치료 계획을 그림으로 풀어주는지 봅니다.
- 보철 팀의 디테일: 임시치·교합 조정에 시간을 쓰는지 확인했습니다.
- 유지관리 프로토콜: 3·6·12개월 체크 스케줄이 있는지.
- 응급 대응: 나사 풀림, 보철 파절 시 대처 속도.
- 소통: 비용·기간·부작용을 선제적으로 말하는지.
작은 결론: 장기 파트너를 찾는다는 마음으로 보시면 실패 확률이 줄어듭니다.

최종 정리: 체크리스트
- 자연치 보존을 최우선 → 임플란트
- 빠른 치료 완성과 낮은 초기 지출 → 브릿지
- 뼈 상태 좋다 → 임플란트 가산점
- 지대치 상태가 훌륭하다 → 브릿지 가산점
- 위생 루틴 철저 → 임플란트 유지력↑
- 보조도구 꾸준히 사용 가능 → 브릿지 안정성↑
마무리
저는 오른쪽 임플란트, 왼쪽 브릿지를 각각의 장점이 살도록 관리하며 쓰고 있습니다. 정답은 한 가지가 아니더군요. 당신의 구강 상태, 생활 습관, 예산, 일정까지 개인 변수를 종합해 결정하면 만족도가 올라갑니다.
다음 스텝은 간단합니다. 근처 치과에서 CT 포함 상담을 받고, 위 체크리스트로 질문을 정리해 보세요. 준비된 환자일수록 치료 결과가 더 좋아집니다.
'건강' 카테고리의 다른 글
| 케토 다이어트 방법과 효과, 성공 변수를 해부합니다 (0) | 2025.09.28 |
|---|---|
| 과민성 대장증후군, “피해야 할 음식”과 현실적인 대처법 (0) | 2025.09.27 |
| 디지털 피로 증후군 & 거북목 관리: 직장인을 위한 자가 교정 루틴 (0) | 2025.09.27 |
| 저속노화 실천법 10가지, 젊을 때부터 시작하는 시간 관리 비밀 🕰️ (0) | 2025.09.27 |
| 마이크로바이옴 다이어트: 장 건강과 체중, 만성 염증까지 잡는 이너뷰티 전략 (1) | 2025.09.27 |